MALDI Imaging
MALDI Imaging
Free Webinar

Making MALDI Imaging IRresistable: Going Multimodal for Advanced Biomedical Insights

MARCH 30, 2026 10 AM EDT / 4 PM CEST

Overview

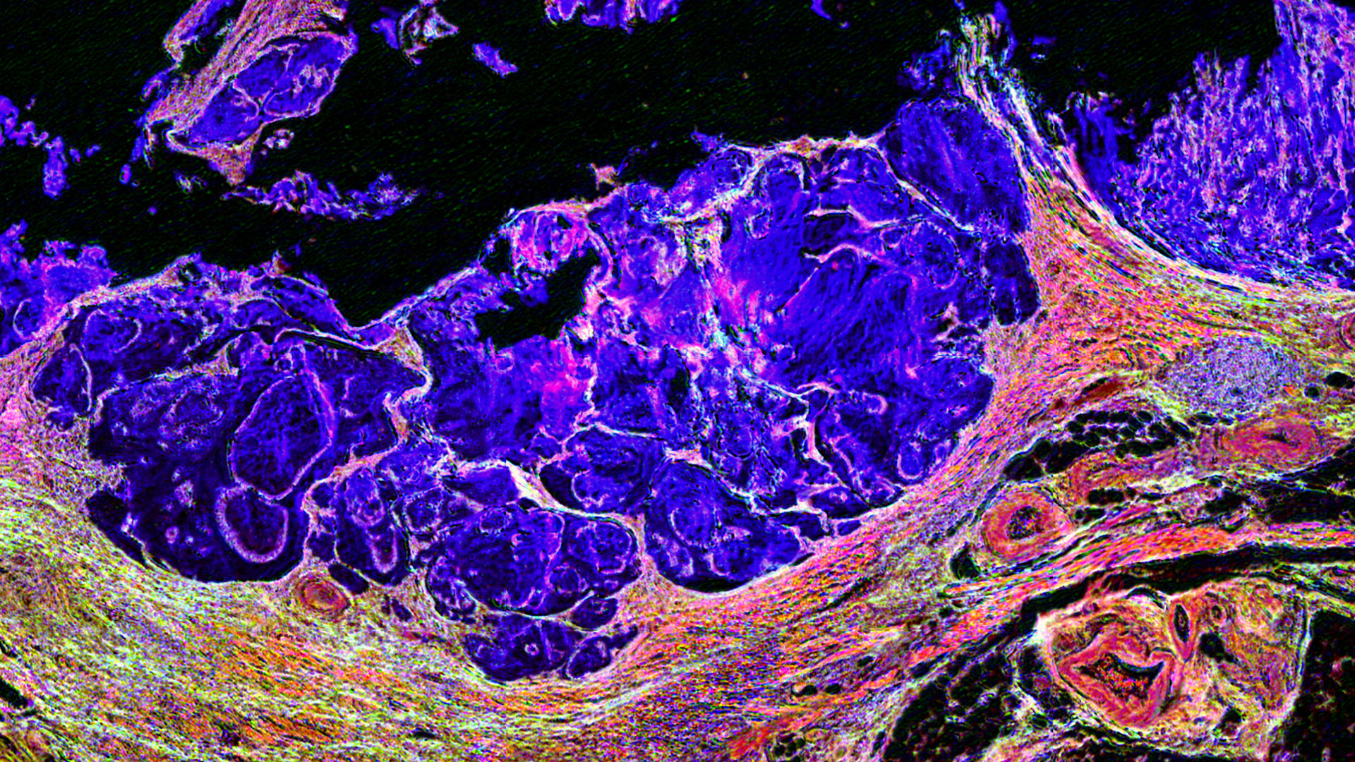
Join us for an exclusive webinar featuring two global pioneers in spatial chemical analysis: Jonathan Sweedler from the University of Illinois Urbana-Champaign and Carsten Hopf from the Center for Mass Spectrometry and Optical Spectroscopy (CeMOS) at Mannheim University.

Key Learning Objectives

  • Understand how advanced multimodal imaging workflows enable highly specific, ROI-focused molecular imaging in complex tissues.
  • Learn how the combination of QCL-based IR microscopy, fluorescence microscopy, and MALDI Imaging enables rapid feature detection and deeper molecular analysis.
  • Gain insight into new MALDI Imaging strategies for ROI-specific molecular analysis.
  • Explore how multimodal integration supports rapid tissue screening and biological feature labeling.


Who Should Attend

  • Experienced MALDI Imaging users looking to enhance spatial specificity, molecular identification confidence, and sample throughput.
  • Scientists and researchers interested in multimodal imaging workflows that combine IR and fluorescence microscopy to guide targeted MALDI Imaging.

Speaker

Prof. Dr. Carsten Hopf
Professor and Head of CeMOS  

Carsten Hopf is currently professor of bioanalytics and drug discovery at Mannheim Technical University. A trained neurochemist, Carsten obtained his PhD in biochemistry from University of Tübingen in collaboration with the Max-Planck-Institute for Developmental Biology. As an EMBO fellow, he continued his research at the Johns Hopkins University School of Medicine, in Baltimore, USA. From 2001 to 2014, he worked at Cellzome (since 2012 part of GlaxoSmithKline), a leading proteomics-based drug discovery company, eventually serving in its leadership team. Since 2005, he is a professor of bioanalytics, enjoying the best of both worlds by building bridges between academia and industry. Carsten heads the Center for Mass Spectrometry and Optical Spectroscopy (CeMOS) in Mannheim. He also serves as spokesman for the Pharma/Diagnostics public-private partnership for innovation M2Aind and is the industry liaison for the German Society of Biochemistry and Molecular Biology.

Jonathan Sweedler, Ph.D

Jonathan Sweedler, Ph.D., holds the Chair in Chemistry at the University of Illinois Urbana-Champaign and is the Editor-in-Chief of Analytical Chemistry. He's a pioneer in analytical neurochemistry, focusing his research on developing ultrasensitive mass spectrometry and imaging tools to uncover the chemical secrets of individual cells and complex tissues

Register Now and Join Our Upcoming Expert Webinar

Reserve your spot today and discover new perspectives on the complexity of high‑grade serous ovarian cancer.