临床前成像

ParaVision 360 亮点

ParaVision 用户依靠仪器附带的按钮式预优化协议和扫描程序。

一致的定量

稳定的结果

ParaVision 用户依赖仪器附带的按钮式预优化方案和扫描程序。凭借CASL,布鲁克公司首次推出其首个工作流程包,其中包含一个完整的预先准备的扫描程序、一个检查指南,以及一个自动测量反转效率和输出定量CBF图的集成重建。这套完整的软件包使数据操作者变得独立,从而提高了纵向研究的质量和可重复性。

可量化的数据

心脏图像质量也比以往更好。无线IntraGate成像与径向UTE相结合,使IntraGateUTE的全心腔覆盖率提高了8倍。最小化的血流伪影允许使用自动心脏分析软件进行简化评估,图像分析工具允许交互式绘制组织属性。

可重现的结果

稳定性和可重复性是制药公司等高度细致的实验室所必须的。扫描到扫描的参数导入保证了整个研究和受试者的一致性,而研究报告则保证了所有的扫描参数都被记录下来,供将来参考。

高效的动物成像

使用动物运输系统(ATS)的触摸屏,动物在MRI和PET中快速定位。它的准确性保证了两种模式之间的定位对应,并实现了最大视场的多站采集。

一致的PET和MRI工作流程

ParaVision 360可实现PET和MRI仪器的全面整合。PET/MR用户可从工作流程、图像处理和分析以及数据结构和管理之间的共通性中获益,所有这些都使模式的操作更快、更简单。不同模式之间的通用术语和集成的工作流程在扫描过程中提供了最佳的清晰度。

站在MRI的最前沿

精确成像

AVANCE NEO 插件的引入使动态调整成为可能,从而使快速 EPI 成像的保真度更高,并改善了多片 CSI 的代谢物定量。

最大的方法组合

布鲁克独有的庞大的MRI序列组合已经得到进一步扩展。B1可以基于DREAM方法进行映射和垫片,CBF可以基于EPI从CASL定量计算。组织成像的范围和质量通过双回声稳态(DESS)方法得到扩展,双回声稳态(DESS)是软骨成像的理想选择,而IntraGateUTE则提供了几乎无流动伪影的全心脏片覆盖。UTE3D增加了双回波时间选项,并提供了包括CEST和MTC选项的饱和度转移模块。RARE中提供了脂水分离选项,可实现脂肪化学位移校正图像。

强大的数据分析功能

ParaVision 360 提供了广泛的重建、查看和分析功能,从角度和注释到表面渲染、底层/覆盖,再到缩放/平移。

全面的灵活性

一个开放的方法开发框架与开放的方法源码,可以实现新型方法的编程和重构方案。 AVANCE NEO 电子器件的引入使动态调整成为可能,从而使快速 EPI 成像的保真度更高,并改善了多片 CSI 的代谢物定量。

创新功能

  • 通过触摸屏控制动物运输系统
  • 按解剖学和应用分类的预定义协议
  • 最佳扫描导航、可重复性和一致性的检查指南
  • 扫描程序功能
  • 扫描到扫描的参数导入功能
  • 报告制作能力
  • PET和MRI仪器之间的常用术语
  • 共同综合多模式工作流程
  • 常见的PET和MRI图像处理、查看和分析工具和功能
  • 常见的PET和MRI数据集结构和管理
  • PET和MRI数据的自动重新登记
  • 动态调整能力
  • 1µs 梯度分辨率和同步
  • 所有渠道的快速在线决策和实时计算

应用

神经科学的准确度达到新水平

ParaVision 360™ 再次设定了临床前成像软件的标准,通过引入检查指南将重现性提高到了一个全新的水平,该指南在整个ASL测量过程中为用户保驾护航,确保了最佳的结果,无论是用于调查中风损伤和恢复的程度,还是用于跟踪痴呆症的进展。当然,这种一致性和可重复性只有在提供图像保真度时才有用武之地。1μs梯度计时的引入提供了最佳的EPI质量最大的图像精确性。此外,动态微调提供了最大的图像精确性,改善结构和功能连接的映射,以及导致更准确的量化CSI。

无线心脏功能评估

IntraGateUTE 可在15分钟内实现平面分辨率为(130×130) μm²的全面心脏评估,每个心脏跳动可获得14个电影帧。

心脏模型的一个共同特点是其不稳定性。因此,调查速度对动物福利至关重要。使用IntraGate可以节省宝贵的设置时间,因为它不需要任何电极。这种独特的方法,记录所有的心脏帧,而不需要触发,与IntraGateUTE中的UTE相辅相成,与传统方法相比,可加速8倍。流动伪影最小化,便于使用自动心脏分析软件进行简化评估。

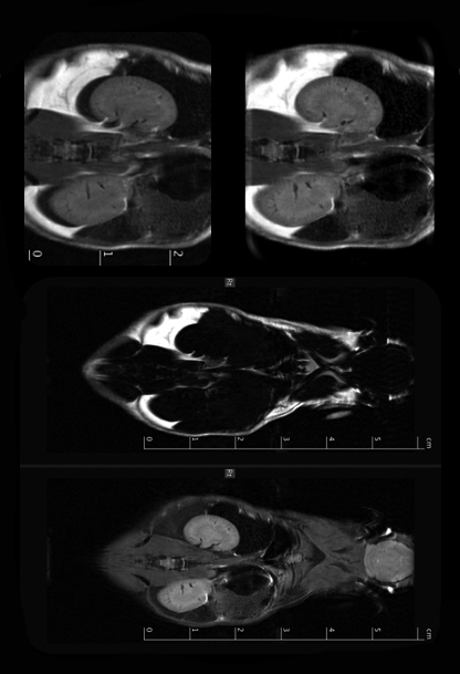
癌症的精确表征

形态和功能数据可以很容易地与最多一个底层和两个叠加数据集融合在一起,正如在这项小鼠胶质瘤研究中看到的那样,在7特斯拉下同时进行PET/MR。信息来源:Uwe Himmelreich, Willy Gsell, Cindy Casteels, Christophe Deroose, 比利时鲁汶大学附属医院分子小动物成像中心(MoSAIC)。

精确的图像重现性对于肿瘤医生测量肿瘤进展和治疗是必不可少的。得益于ParaVision 360集成的AVANCE NEO 插件的最高灵敏度,即使是最小的转移瘤也能在3D体积中清晰可见。使用多站采集和后续图像拼接,可以看到全身的转移。纵向肿瘤灌注研究从ASL检查指南中获益匪浅,ASL检查指南在整个扫描和评估过程中提供协助,确保一致性。

全身成像

布鲁克最大的方法组合提供了对全身各类组织进行二维或三维成像所需的所有方法。无论是使用FLASH或RARE进行经典的脑灰质和白质成像,还是使用布鲁克公司的IntraGate FLASH或IntraGateUTE进行心脏组织成像,或是使用UTE或ZTE进行肺组织或骨骼成像,布鲁克公司的方法组合都能满足您的需求。

脂肪和水可以使用RARE中的饱和度转移模块进行成像,其中包括CEST和MTC选项。

得益于脂肪化学位移校正和B1 shimming,图像质量从未如此之高。

所有这些成像都是通过动物运输系统(ATS)的触摸屏定位快速而精确地进行的。它的精确性使多站采集成为可能,随后的图像拼接可以产生最大的视野,实现全身覆盖。它保证了MRI和PET图像之间的完美定位对应,这使得基于MR的PET自动衰减校正图谱成为可能。

LabScape

磁共振和临床前成像的服务和生命周期支持

布鲁克致力于在整个购买周期(从最初的询问到评估、安装以及仪器的生命周期)为客户提供无与伦比的帮助,现在,LabScape 服务理念已成为其特色。

LabScape 维护协议、现场按需服务和增强您的实验室旨在为现代实验室提供新的维护和服务方法

LabScape-Remote Monitoring
LabScape 介绍