Targeted MALDI Imaging

Label-free targeted imaging and distribution mapping

Choosing between quantitation, distribution or molecular specificity? Imaging offers many advantages for targeted imaging in the drug discovery pipeline. It offers a unique combination of molecular specificity and distribution mapping that neither Quantitative Whole-Body Autoradiography (QWBA) nor LC-MS/MS can deliver.

Plus, with a very low operational cost, it can be deployed often and earlier in the pipeline.

Compound distribution cannot be measured with LC-MS/MS

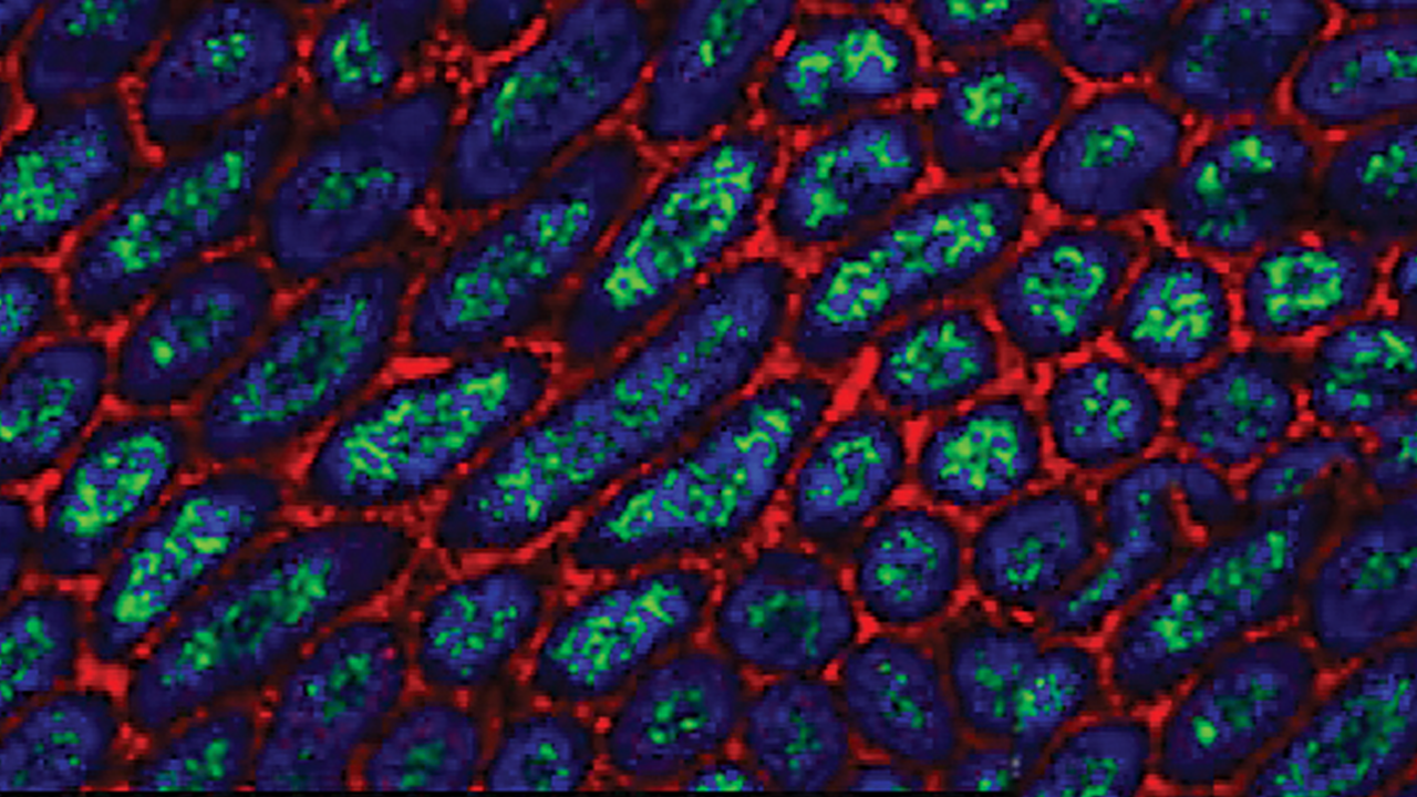
When Drug-Related Materials (DRM) are extracted from tissue homogenates for LC-MS/MS analysis, any information about compartmental distribution is lost. Moreover, quantified DRM is presumed to be an average value, equally distributed throughout the tissue, missing potentially toxic amounts of compound that may be localized to very small compartments.

MALDI targeted imaging reveals not only compartmentalized distributions of DRM, but also can provide quantitative measures of compounds within each compartment that is not possible with LC-MS/MS.

MALDI targeted imaging reveals compund localization not detectable with LC-MS/MS

Unsurpassed molecular specificity for label-free distribution monitoring

eXtreme Resolution of solariX XR can spatially differentiate ions that differ by only a few mDa and image multiple compounds per dataset.

QWBA is the regulatory standard for distribution monitoring but it carries very high cost per study and cannot distinguish intact molecules from radio-labeled-metabolites. Targeted imaging using a MALDI-MRMS system provides a level of molecular specificity that QWBA cannot deliver and at a much lower operational cost, meaning it can be deployed much earlier in the discovery pipeline.

MALDI Imaging is revolutionizing drug discovery

High Fidelity MALDI Imaging
Magnetic Resonance Mass Spectrometry (MRMS)
offers unrivaled mass resolving power and outstanding mass accuracy in the ppb range. This results in high resolution MALDI Imaging data with the ability of straightforward identification of compounds from tissue directly with utmost confidence. Analyzing drug distribution and metabolization, label free visualization of drug and metabolite separately is an enormous advantage in comparison to radioactive labeling procedures as whole-body autoradiography.

Increased speed by 2xR technology
The new 2xR technology allows enhanced speed or mass resolution by new detection options. This enables MALDI Imaging resolution in excess of 200.000 at 800 m/z and <0.6 ppm mass accuracy at 1Hz scan speed. The combination of high mass accuracy and Isotopic Fine Structure (IFS) results in confident identificaton of analytes.

Continuous Accumulation of Selected Ions
To enhance the intensity of specific analytes of interest, the Continuous Accumulation of Selected Ions (CASI) option allows an enhanced dynamic range and a lower limit of detection for your compound of interest. The new Multi CASI option allows the analysis of a specific drug in one CASI window and the accumulation of a specific metabolite in another CASI window which can be enhanced up to 14 CASI windows.

Insights
A recent cover article in Chemical & Engineering News highlighted the adoption of MALDI Imaging into the pharmaceutical industry.

Learn how Imabiotech, the leading global CRO for MALDI Imaging services, relies on Bruker’s targeted imaging technology to provide their clients with quantitative DMPK studies for drug discovery.

Dr. Rima Ait-Belkacem: Using MALDI imaging of drugs and metabolites for DMPK

 

For Research Use Only. Not for use in clinical diagnostic procedures.