BioSpec

BioSpec 152/11

An extremely powerful instrument for most challenging murine imaging studies

Ultra-high Field MRI

streamlined

US/R Magnet
Nitrogen-free Ultra Shielded and helium Refrigerated (US/R) super-conducting magnet for 365 days of reliable scanning
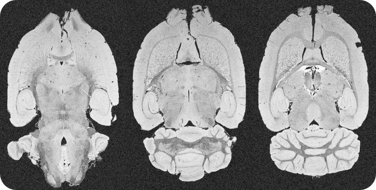
1000 mT/m
High-resolution gradients for most challenging studies
Streamlined
Simplified operation for examinations of mice brain, head, and body
BioSpec Brochure
Download

Features

The ultra-high field of the BioSpec 152/11 provides extreme sensitivity for greatest resolution. Its streamlined design for mice studies makes handling simple, while its powerful software guarantees best results. It can be equipped with the MRI CryoProbe to increase sensitivity even further and together with the gradient strength of up to 1000 mT/m, highest resolution is achieved. It is built with nitrogen-free Ultra Shielded and helium Refrigerated (US/R) magnet technology for long service intervals

  • Nitrogen-free Ultra Shielded and helium Refrigerated (US/R) magnet technology with long service intervals
  • Full second and third order high power shim channels guarantee optimal performance for spectroscopy and imaging
  • Crisp and highly resolved images with native gradient strength of 740 mT/m, upgradable to 1000 mT/m
  • Slew rate: 9000 T/m/s 
  • Scalable AVANCE NEO electronics enabling both MRI and MRS applications
  • Real-time spectrometer control for optimization of acquisition parameters during scan
  • MRI CryoProbe for exceptional increase in sensitivity
  • ParaVision® 360: intuitive software package, for multi-dimensional MRI/MRS data acquisition, visualization, reconstruction, and analysis
  • Over 100 validated and ready to use in vivo protocols and scan programs for mice and rats
  • MRI sequence portfolio of more than 1,000 sequence variations, including wireless cardiac imaging using navigator based IntraGate methods with cartesian or radial readout, as well as short echo time imaging, such as UTE and ZTE
  • In-house development and production of all key components (software, magnet, gradient, spectrometer, RF coils) ensures the best performance



LabScape

Service & Life Cycle Support for Magnetic Resonance and Preclinical Imaging

Bruker’s commitment to provide customers with unparalleled help throughout the buying cycle, from initial inquiry to evaluation, installation, and the lifetime of the instrument is now characterized by the LabScape service concept.

LabScape Maintenance Agreements, On-Site On-Demand and Enhance Your Lab are designed to offer a new approach to maintenance and service for the modern laboratory