Molecular Imaging

PET/CT Si78

The PET/CT Si78 is a high throughput imaging instrument, dedicated for drug and tracer development for clinical translation . It combines highest PET sensitivity with fast and low dose CT.

Quantity and Quality

Hand in hand

From Bench to Bed
Fast translation of preclinical tracers
6 mGy
Low X-ray Dose for longitudinal studies
80 x 150 mm
Total Body PET FOV High PET resolution with highest sensitivity
Si78 PET/CT Brochure
Download

Highlights

The PET/CT Si78 is a molecular imaging system for sequential Positron Emission Tomography (PET) and X-Ray Microtomography (uCT). The fully shielded scanner, the animal welfare solutions and the experimental workflows are designed to support high throughput translational preclinical research in all field s of nuclear molecular imaging research.

ParaVision 360 software offers the complete solutions from subject & study handling, to scan execution, image reconstruction co-registration & image fusion, data analysis and automatic report generation. It easily links imaging data to the most advanced quantitative PET data analysis and kinetic modelling features offered by the PMOD biomedical image quantification software of Bruker.

Features

Instrument:

  • ParaVision® 360 preclinical imaging software suite for scan planning, image reconstruction, visualization, image analysis and data/scan/subject databases
  • Touch screen and camera for easy animal positioning and scanner control
  • Fully automated high precision motorized animal transport system for precise animal positioning and automatic image co-registration and fusion
  • Direct access to the gantry from both sides with minimum distance to the PET FOV enables direct tracer application  in kinetic tracer studies
  • PMOD software tools for advanced data analysis and quantification
  • Fully X-ray shielded during CT scanning
  • 165 x 95 x 240 cm instrument size

PET Features

  • Up to 0.7 mm spatial resolution
  • Up to 12 % sensitivity
  • 150 x 80 mm FOV
  • True DOI, no loss of resolution across FOV
  • Ultrafast GPU reconstruction (MLEM, OSEM and MAP)

CT Features

  • 52 µm resolution
  • 80 (200) x 80 mm FOV single (multiple) bed positions
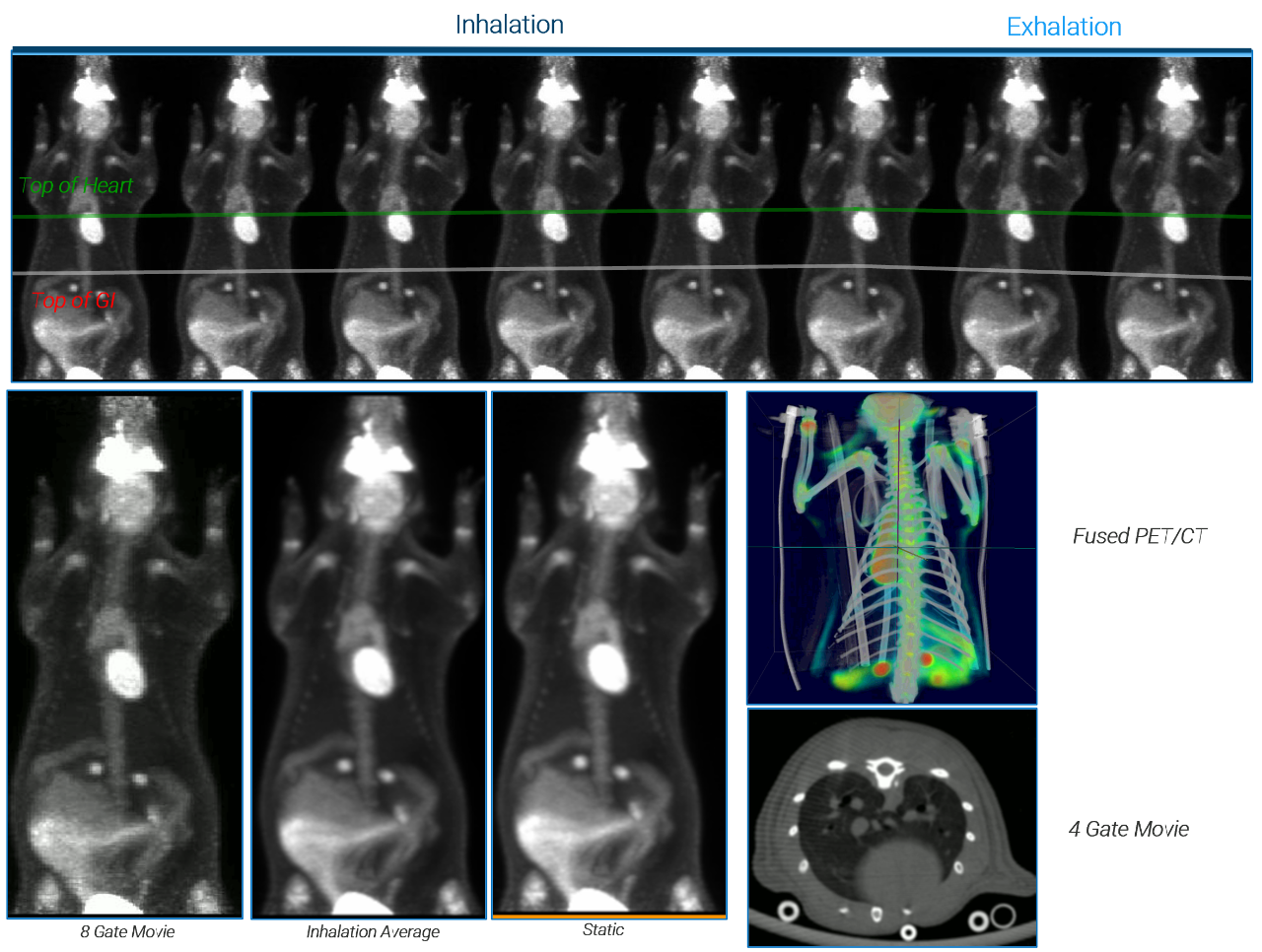
  • Gated cardiac imaging
  • Patented 2-5 x dose reduction

Animal Welfare

  • Single click - self connect animal cradles for mice and rats
  • Multi-mouse animal cradles
  • Animal monitoring and warming system
  • Preparation Stand

More information

Learn More

More Information on PET/CT SI78 and Applications:

LabScape

Service & Life Cycle Support for Magnetic Resonance and Preclinical Imaging

Bruker’s commitment to provide customers with unparalleled help throughout the buying cycle, from initial inquiry to evaluation, installation, and the lifetime of the instrument is now characterized by the LabScape service concept.

LabScape Maintenance Agreements, On-Site On-Demand and Enhance Your Lab are designed to offer a new approach to maintenance and service for the modern laboratory