Quantity and Quality
Hand in hand
 
     
    The PET/CT Si78 is a molecular imaging system for sequential Positron Emission Tomography (PET) and X-Ray Microtomography (uCT). The fully shielded scanner, the animal welfare solutions and the experimental workflows are designed to support high throughput translational preclinical research in all field s of nuclear molecular imaging research.
ParaVision 360 software offers the complete solutions from subject & study handling, to scan execution, image reconstruction co-registration & image fusion, data analysis and automatic report generation. It easily links imaging data to the most advanced quantitative PET data analysis and kinetic modelling features offered by the PMOD biomedical image quantification software of Bruker.
Instrument:
PET Features
CT Features
Animal Welfare
FDG/PET-CT Multi-Mouse 
Brain & Body
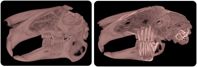
Range of CT only Applications: Rabbits
Range of CT only Applications:
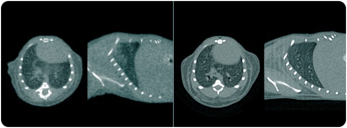
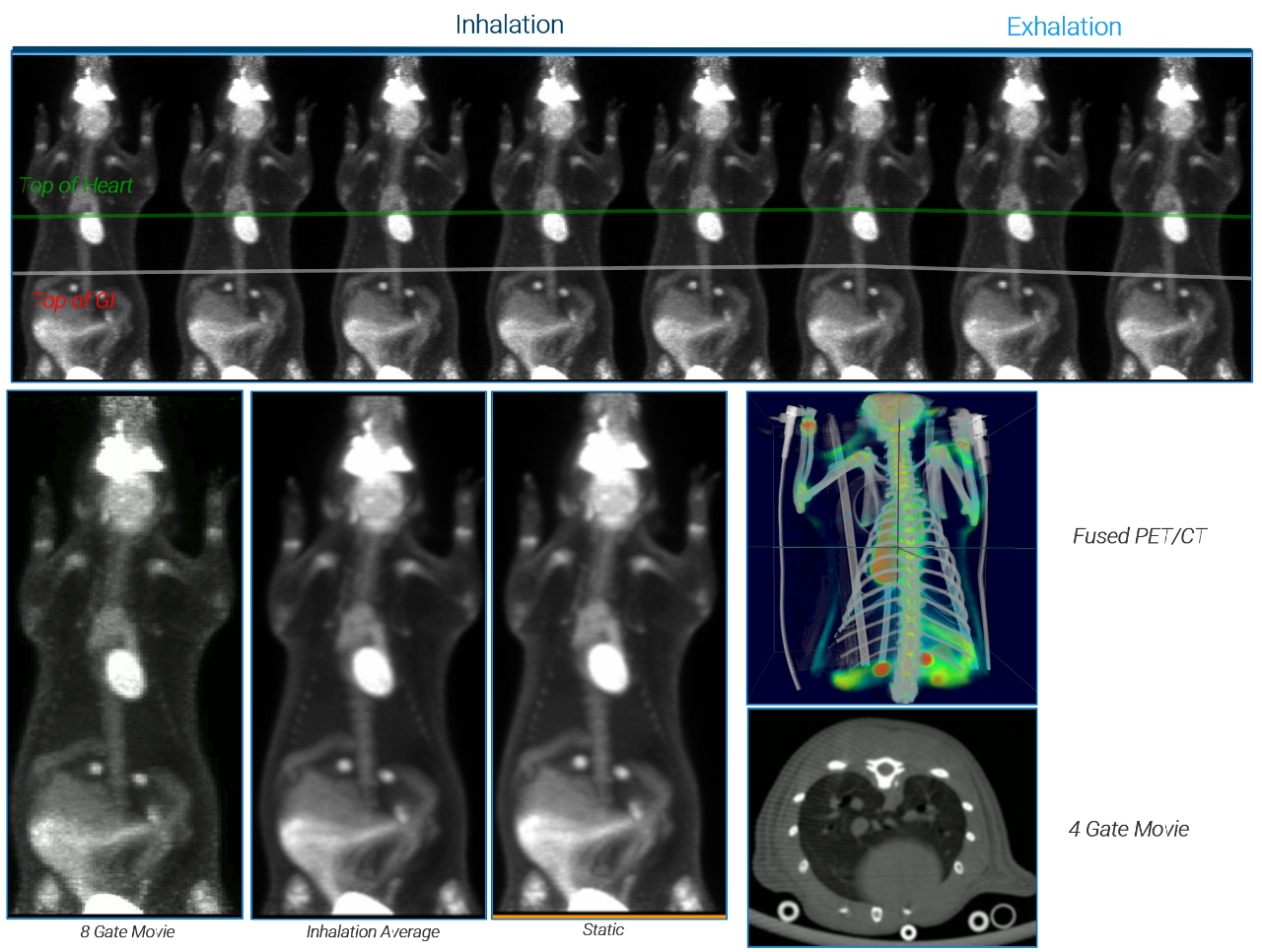
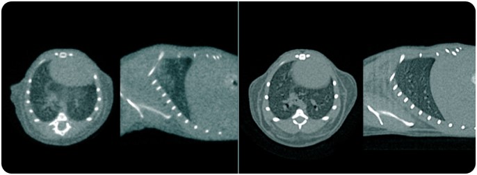
Mice Pulmonary
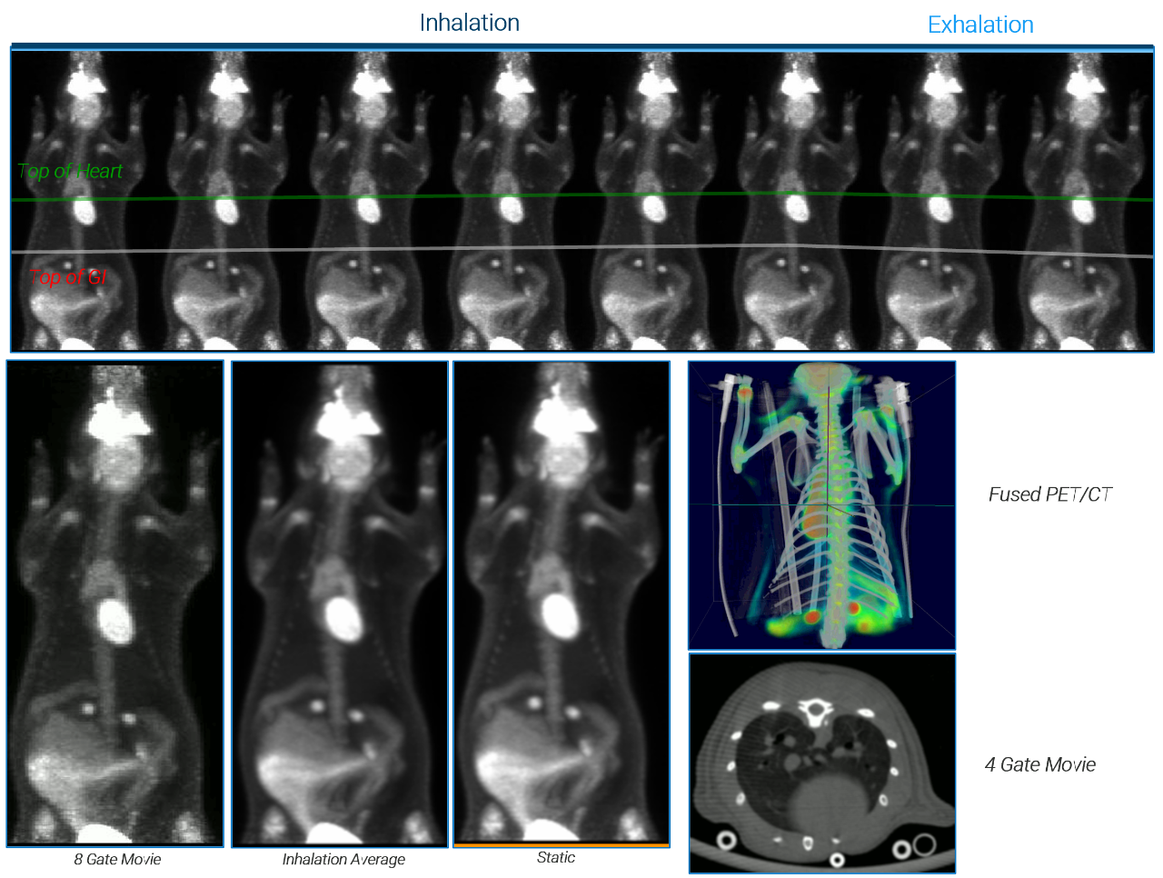
Cardiovascular Imaging
Total Body PET Capabilities
PET and MR in Mouse MetastaticTumor Model
(Left) Coronal whole-body PET/MR. (Right) Focused Axial PET/MR revealing location of lung and abdominal tumors.
Courtesy of Acknowledgements. Thanks to the Katherine Tucker, Mikayla Rodger, Dr. Lixin Ma, Dr. Carolyn Anderson, and Dr. Barry Edwards, MITC – Molecular & Imaging Theranostics Center, University of Missouri.
Total body PET/MRI images of mice
Imaged at pre-injection and 1, 5, 30, 45 mins post-injection of 0.1 mmol/kg [52Mn]Mn-2CHyd or [52Mn]Mn-1CHyd.
Courtesy Yingying Ning , Iris Yuwen Zhou, Nicholas J Rotile et al. MGH – USA
Reference: J Am Chem Soc. 2022 Sep 14;144(36):16553-16558.
64Cu Tracer Validations/Characterizations in a Mouse Glioblastoma Model  
AD Model in Marmosets: Awake Imaging with 11C-PiB and 18F-FDG PET
PET/CT Si78
Multi-Animal Dynamic 18FDG-PET/CT in a Mouse Tumor Model
Dynamic PET with low dose injection: 3 MBq 18FDG
PET/CT Si78 in Rat 
Abdomen & Thorax
Obese Mouse Contrast 
Enhanced CT
More Information on PET/CT SI78 and Applications:
Bruker’s commitment to provide customers with unparalleled help throughout the buying cycle, from initial inquiry to evaluation, installation, and the lifetime of the instrument is now characterized by the LabScape service concept.
LabScape Maintenance Agreements, On-Site On-Demand and Enhance Your Lab are designed to offer a new approach to maintenance and service for the modern laboratory