Application Note | Atomic Force Microscopes

Nanomechanical Characterization with AFM

Understand the unique power of atomic force microscopy to measure mechanical properties

Exploring Nanomechanical Characterization with AFM: Measuring Elastic Modulus, Viscoelastic Properties, Friction, and Adhesion

The ability to characterize a variety of nanoscale properties together with topography in any environment is key to the power and broad applicability of atomic force microscopy. While accessing properties in the realm of electrical, thermal, chemical, and electrochemical measurements is also common, the atomic force microscope (AFM) is best known for its unique ability to measure mechanical properties.

This application note provides an overview of nanomechanical characterization with an AFM, focusing on measurements of the most broadly applicable mechanical properties on the nanoscale: elastic modulus, viscoelastic properties, friction, and adhesion. The measurements described go beyond general mechanical contrast to provide semiquantitative and quantitative information about individual mechanical properties.

Readers can expect to:

  • Gain a framework for categorizing and understanding the various mechanical AFM modes.
  • Find descriptions of each mechanical property category, accessible for even the AFM novice.
  • See examples from each property category, showcasing real samples and data.

 

KEYWORDS: Atomic Force Microscopy; Nanomechanics; Elastic Modulus; Viscoelastic Properties; Friction; Adhesion; LFM; Phase Imaging; TR-Mode; Contact Resonance; Force-Distance; Force Volume; PeakForce QNM; Ringing Mode; AFM-nDMA; Application Note

Nanomechanical Modes of Operation

When it was developed over 30 years ago, AFM quickly became well-known for a mechanical contrast channel known as phase imaging, a measurement inherent to tapping mode that produces contrast derived from a variety of conflated mechanical properties. The measurements described in this application note, though, go beyond this general mechanical contrast to provide semiquantitative and quantitative information about individual mechanical properties.

It is easy to get lost in the alphabet soup of three- or four-letter acronyms that refer to mechanical modes in scanning probe and atomic force microscopy. One useful way to categorize the various modes is to consider the type of AFM tip sample interaction. Using this approach there are three main categories: the tip is oscillating at its cantilever’s resonance frequency (resonance); the tip is oscillating at a frequency that is not its cantilever’s resonance frequency (off-resonance); or the tip/cantilever is not oscillating at all, but a non-periodic deflection is observed when the tip comes into contact with the sample (contact). Using this categorization, a non-exhaustive list of the various modes are organized in Table 1 showing what modes can measure individual properties.

Table 1. Overview of nanomechanical AFM modes and the mechanical properties they can measure.

*Phase contrast provides a single signal that is a convolution of elastic modulus, viscoelastic modulus, and adhesion.

Elastic Modulus

The most sought-after mechanical measurement on the nanoscale is stiffness, in the form of an elastic modulus (also known as Young’s modulus). The elastic modulus is a measure of elastic deformation in a regime where the material is still stretching and the motion is reversible, i.e., before it starts to deform or deteriorate irreversibly. Experimentally in bulk materials, the elastic modulus is measured by fitting the initial linear regime of a stress vs. strain plot. On the microscale, the AFM is the only instrument aside from an instrumented nanoindenter that can measure elastic modulus; it becomes the only instrument that can conduct such measurements on truly small length scales (tens of nm laterally, a few nm in depth) and on very soft materials with moduli down to the kPa.

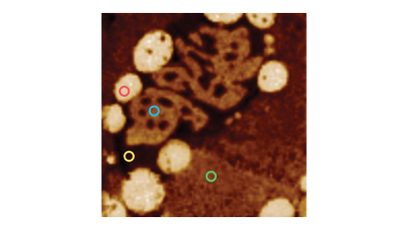
As shown in Table 1, there are many AFM modes that have been developed to measure elastic modulus, including force-distance curves, force volume, PeakForce QNM®, Ringing Mode, AFM-nDMA, and contact resonance. Figure 1 shows an example of PeakForce QNM measurements of the moduli of a blend of rubber, polyethylene (PE), polypropylene (PP), and nanoparticles. In PeakForce QNM, the tip moves in and out of the surface and the force is measured continuously during the approach and retract cycles. In contrast to force-distance curves and force volume that operate on a linear ramp, PeakForce QNM employs a sinusoidal ramp to move the tip in and out of the surface, enabling a faster measurement and one that can be well-controlled. From the force vs. tip-sample separation measurement plots, mechanical properties are extracted using different models that account for varying forms of adhesion such as the Derjaguin-Muller-Toporov (DMT) and Johnson-Kendall-Roberts (JKR) model.

PeakForce QNM easily distinguishes between the four different components with the topography shown in the middle and the LogDMTModulus channel shown on the left (DMT refers to the DMT model used to fit the data, the moduli are shown on a log plot for easier visualization). Individual PeakForce QNM curves are shown on the right from the various components with the dark blue spot measuring a nanoparticle, the orange a PP domain, gray a PE domain, and light blue a rubber domain. The slopes of these individual curves, from which the elastic modulus is measured, are easily differentiated in the plots.

Figure 1. PeakForce QNM image (15 µm scan size) of a heterogeneous polymer blend, showing (a) LogDMTModulus, (b) height, and (c) individual force vs tip-sample distance curves. The four materials are easily differentiated by contrast in (a) and (c): nanoparticles (dark blue) rubber (light blue), polyethylene (gray), and polypropylene (orange). Dotted lines indicate approach and solid lines indicate retract.

Viscoelastic Moduli

Materials whose modulus depends on the frequency at which it is being measured are known as viscoelastic materials. Silly Putty is an example of such a material, where its stiffness depends on how fast (the frequency at which) it is stretched, but there are many examples especially among polymers and biological materials. There are three main viscoelastic moduli, all of which are a function of temperature and frequency: the storage modulus E’ (elastically stored energy), loss modulus E” (dissipated energy), and loss tangent tan d (also called tan delta, ratio of loss modulus/storage modulus). Viscoelastic moduli can help to predict and understand a material’s performance, e.g., the use of the loss tangent as a performance metric for tires, and the use of loss tangent vs temperature plots to measure glass transition temperatures.

There are two main methods to measure viscoelastic moduli with AFM: contact resonance and AFM-nDMA. In contact resonance, the measurement frequency is determined by the resonant frequency of the cantilever in contact with the sample—typically hundreds of kilohertz to megahertz. In contrast, with AFM-nDMA, the resonance is not used, so maps or point spectra can be collected. Each measurement includes a hold period with a modulation at a fixed amplitude and frequency or range of frequencies set by the user, where the frequency can range from 0.1 Hz to 20,000 Hz. During the modulation segment, amplitude and phase data are analyzed and used to calculate the three viscoelastic properties of E’, E”, and loss tangent.

AFM-nDMA can measure these properties as a function of frequency or temperature as shown in Figure 2 of a blend of polypropylene (PP) in the matrix and cyclic olefin copolymer (COC) in an island in the middle. The blend here is measured as a function of temperature from room temperature, where the two materials have roughly constant E’ until 175°C. As observed in these 2x2 µm2 images, the polypropylene matrix then softens more rapidly than the COC as observed in the E’ map on top, while the loss tangent contrast inverts as the temperature approaches the glass transition of the COC.

Figure 2. AFM-nDMA scans (left, 2 µm scans each) showing storage modulus (E', top row) and loss tangent (E''/E', bottom row) of a blend of polypropylene (PP) and cyclic olefin copolymer (COC) as a function of temperature. A pair of AFM-nDMA ramps (right) collected on a stiff (blue) and a soft (pink) material, showing the small amplitude oscillation during the hold segment.

Adhesion

As the tip makes mechanical contact with the surface it often adheres to the sample due to local attractive forces. The adhesion force as the tip retracts away can be measured by various methods as shown in Table 1. A popular method to measure adhesion is through force spectroscopy, which includes individual force distance curves or a map of such curves that, collected together, form a force volume data cube. An individual force curve can be analyzed for a variety of properties including adhesion and modulus, the latter of which is modeled via different contact mechanics models. Force volume provides mapping capability so that distribution of properties can be easily visualized.

A force volume map of a carbon sticky stub commonly used to secure samples is shown in Figure 3 with height (left), adhesion (middle), and modulus (right) maps, all of which were extracted from fitting individual force curve data. The AFM images show two distinct areas: the matrix which dominates the sample and has high adhesion, but is soft (this is the “glue” in the sticky stub) as well as patches of non-sticky, hard material (the carbonaceous material). Individual force curves are shown on the bottom from the carbon material (blue dot) which corresponds to the dotted blue/solid blue approach/retract force curves showing a minimal adhesion dip (marked by an *) as the tip retracts from the surface. In contrast, an individual force curve from the matrix is shown in the orange dot on the adhesion map and corresponds to the dotted orange/solid orange approach/retract force curves showing a very large adhesive dip as the tip retracts from the surface.

Figure 3. Force volume scans (2 µm) showing (a) height, (b) adhesion, and (c) modulus. Individual force curves at locations indicated in (b) are plotted in (d), showing the carbonaceous material (blue) having low adhesion and the matrix adhesive material (orange) having high adhesion. An asterisk marks the adhesion dip for each material. As seen in the force curves, bright areas in the adhesion map (b) correspond to about 20-30 nN of adhesion, while dark areas have adhesion of <10 nN.

Friction

Friction as measured by AFM is the force resisting the relative motion of the tip and the substrate when the tip is moved parallel to the surface. Friction force can be measured in lateral force mode where the tip is in contact with the sample and scanned in a direction perpendicular to its cantilever axis. In this way, the normal force is known (the force being exerted by the cantilever) and the friction force can be measured from the twisting motion of the cantilever as it scans across a surface.

Torsional force dynamic friction microscopy (TR-DFM) is a different technique that is sensitive to a related force termed dynamic friction. In this mode, the cantilever is placed in contact with the surface and oscillated side to side at its torsional contact resonance frequency, in contrast to the “conventional” cantilever resonance modes referred to above where the cantilever is oscillated normal to the surface. The phase of this torsional resonance can then be measured and shows sensitivity to the mechanical dynamic friction of the surface. An image of torsional phase of a monolayer of graphene on hexagonal boron nitride (hBN) is shown in Figure 4. The atomic lattice of hBN is easily observed with the finer features likely the underlying graphene lattice. A moiré period of 2.6 nm is measured indicating a relative twist of 5.4° between the monolayer graphene and hBN.

Figure 4. Torsional resonance force microscopy phase channel image of a moiré superlattice formed between monolayer graphene and hBN with a period measuring 2.6 nm. Adapted from M. Pendharkar, S.J. Tran, G. Zaborski, et al. (2024). DOI: 10.1073/pnas.2314083121, licensed under CC BY.

Experimental Considerations

While it is relatively easy to make qualitative comparisons of mechanical properties across a sample, quantitative nanomechanical measurements with AFM do require careful selection of probe along with calibrations of the cantilever spring constant and tip radius. The cantilever is typically selected on the basis of its spring constant or stiffness. The cantilever stiffness must broadly match that of the sample in order to have the appropriate level of sensitivity to probe the sample. The tip radius needs to be determined, as this is an important parameter that feeds into the various contact mechanics models. While these parameters can be calibrated by the user, commercial probes are now available with pre-calibrated spring constants and tips with a spherical geometry whose radii are known.

Conclusion

Atomic force microscopy provides important nanomechanical characterization capability that goes well beyond simple material contrast. AFM provides a wide variety of modes to probe many mechanical properties including elastic modulus, viscoelastic moduli, friction, and adhesion. All these properties are measured on the nanoscale simultaneously with topography reaching lateral scales down to a few nm and vertical length scales of less than a nanometer. A versatile instrument that can measure these properties in environments ranging from ultrahigh vacuum to liquid, AFM remains a powerful tool in the arsenal of nanomechanical methods and the only one that can access these properties on the single nanometer length scale.

 

Authors

  • Dalia Yablon, Ph.D., SurfaceChar (dalia.yablon@surfacechar.com)
  • Bede Pittenger, Ph.D., Bruker (bede.pittenger@bruker.com)

 

©2024 Bruker Corporation. PeakForce QNM is a trademark of Bruker Corporation. All other trademarks are the property of their respective companies. All rights reserved. AN160 Rev. A0

Free Instant Download

Download the Full-Length PDF

Input value is invalid.

Get instant access to the full-length PDF

Please enter your first name
Please enter your last name
Please enter your e-mail address
Please enter a valid phone number
Please enter your Company/Institution
What best describes your current interest?
Please add me to your email subscription list so I can receive webinar invitations, product announcements and events near me.
Please accept the Terms and Conditions

             Privacy Notice   Terms of Use


  * Please fill out the mandatory fields.

Your download is now available.


Note:
If you exit this page, you may not be able to reopen this download window without re-submitting the form.